L’aménagement gingival pré-prothétique intervient avant la pose d’une prothèse dentaire. Il permet de préparer les tissus mous pour obtenir un résultat fonctionnel et esthétique. Cette étape assure la stabilité et la durabilité des prothèses. Elle améliore aussi le confort du patient au quotidien.
Certains tissus peuvent présenter des anomalies, des excès ou des irrégularités. Ces défauts compliquent souvent la mise en place d’une prothèse fixe ou amovible. L’objectif est de corriger ces problèmes pour créer des conditions favorables à la réhabilitation.

Cette procédure concerne les personnes édentées, les patients en cours de réhabilitation ou ceux qui présentent une résorption osseuse avancée. Elle s’adresse également à ceux dont la gencive est enflammée, fine ou mobile.
L’intervention se déroule en plusieurs étapes et repose sur un diagnostic précis. Les techniques varient selon l’état initial des tissus et le type de prothèse envisagée.
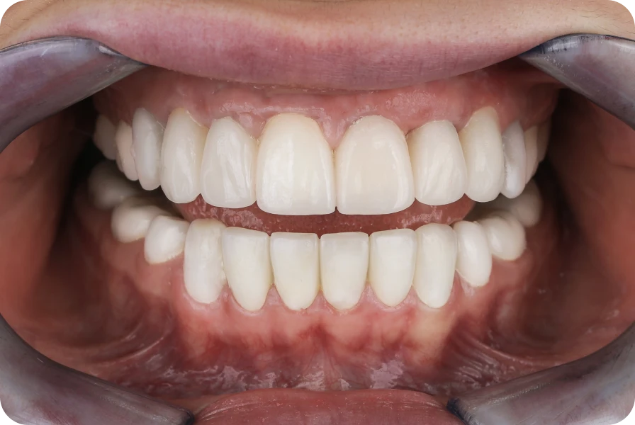
La gencive joue un rôle central dans le maintien et le bon fonctionnement des prothèses. Si elle présente des défauts, les résultats sont moins satisfaisants. Il devient alors difficile d’assurer une bonne occlusion, une tenue stable et une esthétique naturelle.
Lorsque les tissus mous sont trop mobiles ou insuffisants, la prothèse bouge. Cela entraîne des douleurs, des irritations et parfois des infections chroniques. De plus, les prothèses mal adaptées provoquent une résorption osseuse accélérée.
Un excès de tissus peut aussi créer des poches parodontales. Celles-ci favorisent l’accumulation de plaque et la prolifération bactérienne. Ces conditions rendent l’hygiène buccale plus difficile à maintenir.
L’intervention vise plusieurs objectifs. D’abord, elle permet de stabiliser les tissus. Ensuite, elle crée une base saine et régulière pour recevoir la prothèse. Enfin, elle améliore la distribution des forces masticatoires.
L’ajustement des tissus améliore également le confort au port. Il facilite l’élocution et la mastication. En résumé, cette préparation influence directement la qualité de vie.
Les techniques dépendent des besoins cliniques. Le praticien choisit l’approche selon l’examen initial et le plan de traitement global. Il existe plusieurs interventions possibles. Elles peuvent être chirurgicales ou non chirurgicales.
La régularisation des tissus gingivaux consiste à enlever les excès. Ces zones peuvent être épaisses, fibreuses ou irrégulières. On parle aussi de plastie gingivale. Cette intervention se réalise souvent sous anesthésie locale.
Elle améliore la répartition de la pression exercée par la prothèse. Elle corrige aussi les zones de frottement ou de compression.
La vestibuloplastie vise à approfondir le vestibule buccal. Cette zone se situe entre la lèvre et la gencive. Elle devient souvent peu profonde chez les patients édentés depuis longtemps. Cela limite la surface d’appui pour la prothèse.
Cette technique permet de dégager davantage de muqueuse kératinisée. Elle améliore ainsi la rétention de la prothèse. Elle est réalisée avec ou sans greffe.

Dans certains cas, les tissus sont trop fins ou absents. Il devient alors nécessaire d’en ajouter. Les greffes gingivales permettent d’épaissir la gencive ou d’augmenter sa surface. Le tissu est prélevé sur une autre zone de la bouche, souvent le palais.
Les greffes sont utiles pour corriger les défauts liés à des récessions. Elles sont aussi indiquées après une extraction multiple ou en cas de perte de gencive kératinisée.
Parfois, plusieurs interventions sont nécessaires. Le praticien peut associer une vestibuloplastie à une greffe. Cette approche permet d’obtenir un résultat plus stable dans le temps. Chaque cas est évalué individuellement.
La phase de planification commence toujours par un examen clinique minutieux. Le praticien évalue l’état des tissus mous et durs. Il analyse aussi les mouvements musculaires, la position des freins labiaux et la mobilité gingivale.
Étude des modèles et simulation
L’étude des modèles en plâtre ou numériques permet d’anticiper les ajustements. Elle facilite la planification chirurgicale. Une simulation peut être réalisée à l’aide de cire pour visualiser les corrections à apporter.
Cette étape réduit les imprévus peropératoires. Elle permet aussi de mieux informer le patient sur les objectifs de l’intervention.
Chronologie des soins
L’aménagement gingival précède la réalisation de la prothèse. Il faut parfois respecter un temps de cicatrisation de plusieurs semaines. Ce délai varie selon la technique utilisée. En général, il faut attendre entre 4 à 8 semaines avant la prise d’empreinte.
Le praticien peut proposer une prothèse provisoire pendant cette période. Celle-ci permet de maintenir les fonctions de mastication et d’élocution.
Le succès dépend en partie de l’implication du patient. Une bonne hygiène buccale est indispensable avant et après l’intervention. Il faut aussi respecter les consignes postopératoires pour favoriser une cicatrisation optimale.
Avant l’intervention, le contrôle de la plaque est essentiel. Il limite le risque d’infection et améliore les conditions opératoires. Après l’intervention, des bains de bouche antiseptiques peuvent être prescrits.
Le praticien surveille la cicatrisation lors des consultations de suivi. En cas de greffe, il évalue l’intégration du tissu et la stabilité obtenue.
Il est important d’éviter le tabac, car il nuit à la cicatrisation. Certains aliments irritants ou durs doivent aussi être évités pendant la phase postopératoire. Le port de la prothèse provisoire peut être limité selon les cas.
Le respect de ces consignes augmente les chances de réussite. Il permet aussi de réduire les douleurs ou complications.
L’intervention améliore la tenue de la prothèse et la qualité des tissus. Elle vise une stabilité à long terme. Les résultats varient selon les conditions initiales et la rigueur du suivi.
Juste après l’intervention, des gonflements ou douleurs modérées peuvent apparaître. Ces effets diminuent rapidement avec les soins adaptés. La gencive prend ensuite une forme plus régulière et plus épaisse.
À long terme, le port de la prothèse devient plus confortable. La prothèse reste mieux en place. L’apparence naturelle du sourire est mieux préservée.
Le suivi permet de détecter les éventuelles complications. Il est utile pour adapter la prothèse si nécessaire. Une surveillance annuelle est souvent recommandée pour les porteurs de prothèses totales ou partielles.
L’intervention est réalisée sous anesthésie locale. La douleur postopératoire reste généralement modérée. Elle se contrôle bien avec les antalgiques prescrits.
Le tarif dépend de la technique employée. Certaines interventions peuvent être prises en charge en partie par l’assurance maladie ou la mutuelle.
Parfois, la prothèse peut être posée sans préparation gingivale. Mais dans de nombreux cas, cette étape conditionne la réussite du traitement. Elle ne doit pas être négligée.
Le délai dépend de l’intervention. En général, la cicatrisation complète prend entre 4 et 8 semaines. Ce temps est nécessaire avant d’envisager la réalisation définitive de la prothèse.
Le cabinet de parodontie du Dr Rémy SIEROCKI à Valenciennes accueille les patients pour l’aménagement gingival pré-prothétique. Une évaluation complète y est réalisée afin de proposer un plan de traitement adapté à chaque situation.
Les techniques utilisées respectent les standards actuels de la parodontologie. Chaque intervention est précédée d’un diagnostic précis et suivie de contrôles réguliers. Le cabinet propose également un accompagnement personnalisé tout au long du traitement.
Prenez rendez-vous en ligne dès maintenant pour bénéficier d’une consultation dédiée. La préparation gingivale est une étape clé pour la réussite de votre réhabilitation prothétique.